top of page
IMG_4982v5.jpg
827 Blossom Hill Road W-4

Blossoming Smiles

for Your Brightest Days

Sow the seeds to grow your beaming smile

Nurtured Growth

We have various treatment plans for all ages whether you're an adolescent or an adult.

Treatment

Learn About

the Process

  • Read about different types and parts of braces.

  • What happens while the braces are on?

  • How to make treatment easier.

  • Braces, then what? 

  • What to do in an emergency?

Braces 101

Ready to

Take Root

Eager to begin, but don't know where to start?

New Patient Info

 

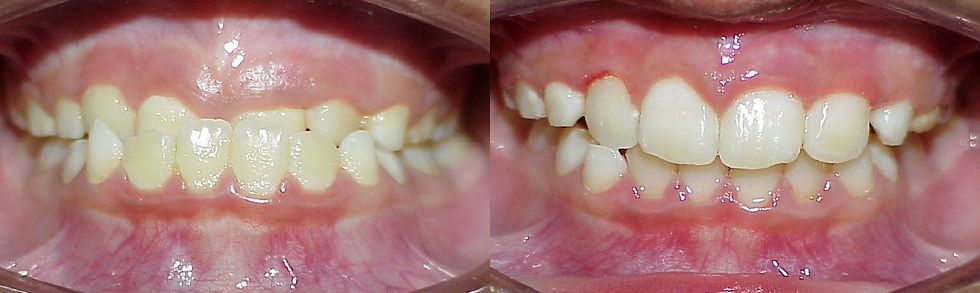
HAPPY CLIENTS

Scroll over to preview

Click to see full image

Happy Clients

CONTACT US

We'd love to hear from you

This is for general questions and requests only. Please, do not include any personal information.

Contact Information

827 Blossom Hill Road, Suite W-4

San Jose, CA 95123

 Tel: (408) 226-3000

Text: (669) 255-7100

Fax: (408) 226-9868 

blossomkareortho@gmail.com

Opening Hours

Tuesday & Friday: 9:30AM - 6:00PM

Wednesday: by appointment only

Some Saturdays:   8:AM – 12PM

Thanks for submitting!

Contact Us
png.png
408-226-3000
bottom of page